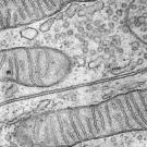
Inside our cells are tiny engines that supply the energy to sustain life. These protein machines essentially burn our food – producing CO2 and harnessing the energy that is released to sustain growth, movement and even thought.
Each year, roughly 1.6 million people worldwide are born with genetic diseases that disrupt these tiny cellular engines – making life difficult.
“Mutations in these protein complexes are really devastating, and often lethal,” says James Letts, an associate professor of molecular and cellular biology.
In a new study published in Science Advances on September 10, a team of UC Davis researchers tracked the movement of fluorescent particles inside the cells of microscopic worms, providing unprecedented insights into cellular crowding in a multicellular animal. They found that the cytoplasm inside the worms was significantly more crowded and compartmentalized than in single-celled yeast or mammalian tissue culture cells, which are more commonly used to gauge internal cellular dynamics.
Although teaching is a core part of being a professor, most academics learn how to teach on the job. CBS’s Future Undergraduate Science Educators (FUSE) program is changing that.
Sam Arcement—Director of Graduate Academic Programs for the College of Biological Sciences, and the program coordinator for the Molecular, Cellular, and Integrative Physiology (MCIP) Graduate Group—has been honored with the 2024 Outstanding Graduate Program Coordinator Award from the Office of Graduate Studies. This year saw a record number of nominations. “Sam tirelessly ensures that our needs and concerns are heard and addressed,” said one MCIP student, who praised Arcement’s dedication to student advocacy.
Commitment.Passion. Empathy. These descriptors were just a few of the plaudits the winners of the 2024 Graduate Program Advising and Mentoring Award received in their nomination letters.
“[This professor’s] mentorship is always the perfect balance of pushing you to your full capacity, while also supporting at a level that fosters independence, creativity and self-ownership.”
“[This professor] combines a deep sense of empathy with a steely commitment to student development.”
Funding agencies and universities should make it more equitable for early-career investigators with non-traditional career paths to compete for grants and progress in their careers, argue four scholars with non-traditional backgrounds in a paper published in PLOS Biology in the fall of 2023.
Many mammals, from domestic cats and dogs to giant pandas, use scent to communicate with each other. A new study from the University of California, Davis, shows how domestic cats send signals to each other using odors derived from families of bacteria living in their anal glands. The work was published Nov. 8 in Scientific Reports.
Dan Starr, a cell biologist and professor in the Department of Molecular and Cellular Biology, has been named the new Associate Dean of Research for the College of Biological Sciences. He will step into the role on October 1, 2023.
“I see this position as an opportunity to encourage my colleagues to branch out and expand into new research areas,” said Starr. “Our research portfolio at CBS is already very strong. My goal is to build on our successes and to support future growth in our research programs.”
Beds of eelgrass (Zostera marina) form an important habitat in coastal regions throughout the northern hemisphere, crucial to many fish and other species and storing vast amounts of carbon. A new study published July 20 in Nature Plants shows that eelgrass spread around the world much more recently than previously thought, just under a quarter-million years ago. The results have implications for how eelgrass could be affected by a changing climate.