Tiny Engines Provide Energy for Life, Mapping Them Could Help Us Treat Genetic Disorders

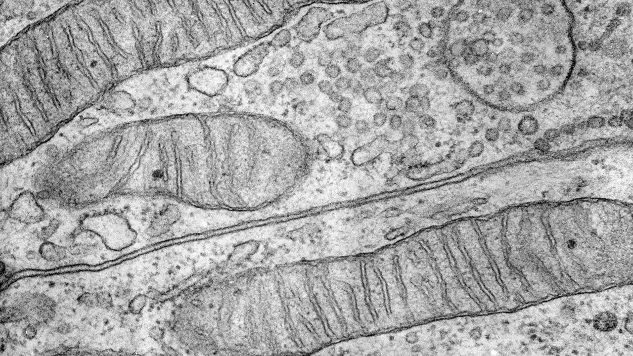
Long, narrow mitochondria with visible cristae shown under electron microscopy at 28000x magnification
Mitochondria—our cells’ tiny power plants—fuel nearly every biological process. UC Davis researchers are uncovering how these intricate molecular engines work, paving the way for new treatments for devastating mitochondrial and age-related diseases. (Image by CellImageLibrary.org, doi:10.7295/W9CIL37196)

Tiny Engines Provide Energy for Life, Mapping Them Could Help Us Treat Genetic Disorders

Biochemist maps the 3D structure of biology’s most complex machine, in hopes of curing devastating diseases

Inside our cells are tiny engines that supply the energy to sustain life. These protein machines essentially burn our food – producing CO2 and harnessing the energy that is released to sustain growth, movement and even thought.

Each year, roughly 1.6 million people worldwide are born with genetic diseases that disrupt these tiny cellular engines – making life difficult.

Mutations in these protein complexes are really devastating, and often lethal,” says James Letts, an associate professor of molecular and cellular biology. 

These genetic disorders, called mitochondrial diseases, are especially damaging to the tissues that have the highest energy needs – including the heart, brain, and muscles – and cause heart failure, weakness, muscle wasting, seizures, dementia, loss of hearing and sight, and difficulty walking or moving.

Right now, we have no way to treat these diseases,” says Letts, who is trying to understand how these protein machines work, in hopes of changing this. His work could also improve medical treatment for heart attacks and strokes. It might even lead to new treatments for diseases of aging like Alzheimer’s and Parkinson’s.

Three people in lab coats and goggles smile as one uses a pipette, with shelves of lab glassware behind them
James Letts, an associate professor of molecular and cellular biology, investigates how mitochondrial protein machines power life—and how understanding them could lead to new treatments for disease. (Sasha Bakhter / UC Davis)

Revealing vast structures

The burning or oxidation of our food is central to life as we know it. In plants, fungi, and animals it happens in tiny sausage-shaped compartments called mitochondria that sit inside our cells. The chemical reactions are carried out by a series of protein machines called respiratory complex I, II, III, IV, and V, which are among the most complicated molecular structures known to science. The largest of them, complex I, is assembled from different proteins, comprising nearly 50,000 atoms. 

Letts has spent his career trying to decipher the 3D structure of these machines, down to the position of every last atom.

During his postdoctoral fellowship at the Institute for Science and Technology in Austria, he learned a new technique for doing this, called CryoEM, in which the delicate, origami-like protein machines are cooled and stabilized at temperatures colder than –100 °C, then imaged with an electron microscope.

Letts and others found that the complex I is shaped like a letter “L” when it is turned on, and it can turn off by relaxing into a wider angle, which opens up an important part of the machine – preventing the oxidation process from going forward.

The diversity of life’s machines

After joining UC Davis in 2018, Letts refined his methods to map the respiratory complexes of species using ever smaller samples. This allowed him to determine the structures of respiratory complexes across far-flung branches of the evolutionary tree of life, to discover their differences and similarities.

In 2020 and 2022, he published the structures of complex I for mung bean plants (Vigna radiata) and for the single-celled protozoa Tetrahymena thermophila, finding that each lacked some of the protein engine parts that are known in mammals — but contained others that were new to science.

Wherever we look on the tree of life, we find something totally unexpected,” Letts says. 

This led to an important discovery in 2023: he found that in fruit flies (Drosophila melanogaster), complex I can actually lock into an on or off position. This doesn’t happen in mammals – and it inspired an idea for new medical treatments.

We think we can engineer specific binder molecules that might let us turn complex I on or off,” says Letts. 

Keeping complex I turned on could help people with some mitochondrial diseases, in which mutations cause this complex to turn off too easily — strangling a cell’s energy supply. 

On the other hand, people experiencing strokes or heart attacks have the opposite problem: brain and heart tissues are severely damaged when blood flow is suddenly restored — a phenomenon called reperfusion injury. This happens because, as oxygen floods into the hypoxic tissues, complex I turns back on before the other respiratory complexes are ready. This spews out toxic peroxides and oxygen free radicals that kill and damage cells. 

If you could hold complex I inactive for a little longer, you could potentially prevent much of that damage,” says Letts.

Multicolored 3D rendering of a protein complex
The 3D structure of complex 1, a cellular machine assembled from 45 different proteins, encompassing 50,000 atoms. Complex I carries out critical steps in the oxidation of food molecules, supplying the cell with energy. Understanding its function could improve the treatment of heart attacks, strokes, and genetic disorders called mitochondrial diseases. (Letts Lab / UC Davis)

A new understanding of respiration

Letts has also found another potential strategy for treating diseases.

Years ago, he and colleagues discovered that respiratory complexes don’t always operate separately. In living cells, multiple complexes often connect, forming even larger machines called “supercomplexes,” which efficiently funnel molecules that are being oxidized from one complex to another.

Discovering this was a big deal,” Letts says. “It took a while to convince the entire field that this was true – but it completely changed our understanding of cellular respiration.”

In February 2025, he and his colleagues reported that these supercomplexes might lead to new medical treatments.

They found a supercomplex between complex I and complex III (called I2+III2, because it has two of each) that accumulates in mitochondrial disease. When this supercomplex forms with a genetically defective form of complex III, it restores normal function — increasing the cell’s energy supply and reducing the production of toxic peroxides and radicals.

If scientists can find a way to form these supercomplexes in human cells, they might be able to lessen the effects of certain mitochondrial diseases in which proteins are disrupted by mutations. 

This same strategy might even lead to new treatments for common diseases of aging.

Scientists are gradually learning that as a person ages, the mitochondrial protein complexes slowly lose their function – producing less energy and more toxic peroxides – thereby mimicking the onset of a mitochondrial disease. This damage may contribute to Alzheimer’s and Parkinson’s diseases, in which nerve cells wither and die. But if scientists can take these faltering protein machines and assemble them into supercomplexes, they could, in theory, slow the decline of the nervous system – providing the cellular energy for graceful movement and clear thought.

Seeing how these complexes function is really fundamental to understanding all life on Earth,” says Letts. “But the potential medical applications are also vast.” 

Letts’s research is funded by the National Institutes of Health and the Department of Energy. His laboratory has also received research funding from the Howard Hughes Medical Institute and from the American Heart Association. His work utilizes several research core facilities at UC Davis, including the Biological Electron Microscopy (BioEM) Facility, the Proteomics Core Facility, and the High-Performance Computing Core Facility.

The scientific discoveries described in this story involved contributions from former postdoctoral fellow Long Zhou (now at Zhejian University in China), former postdoctoral fellow María Maldonado (now an assistant professor of Plant Biology in the College of Biological Sciences), and Abhilash Padavannil, currently an Assistant Project Scientist in the Letts lab.

Media Resources

Primary Category

Tags